Skip to content Skip to sidebar Skip to footer

Widget HTML #1

Tuberculosis X Ray / Comparison Of Chest X Ray Lesion Characteristics Of Multidrug Resistant Tuberculosis And Non Tuberculous Mycobacterial Infection - This is a matter of definition.

Tuberculosis X Ray / Comparison Of Chest X Ray Lesion Characteristics Of Multidrug Resistant Tuberculosis And Non Tuberculous Mycobacterial Infection - This is a matter of definition.. For decades, tuberculosis (tb), a potentially serious infectious lung disease, continues to be a leading cause of worldwide death. The samples are tested for tb bacteria. This manual would not have been possible without the comments and suggestions of colleagues with considerable. Tuberculosis is an infectious disease that causes inflammation, the formation of tubercles and other growths within tissue, and can cause tissue death. Other views (lateral or lordotic).

Thus chest x rays are neither specific nor sensitive and so remain a supplement to microbiological tests such as microscopy pcr and culture. Left apical bronchiectasis at the level of. This manual would not have been possible without the comments and suggestions of colleagues with considerable. Other views (lateral or lordotic). Culture was used as gold standard.

Guidance Newer Tests Recommended For Tb Diagnosis Cidrap
Guidance Newer Tests Recommended For Tb Diagnosis Cidrap from www.cidrap.umn.edu
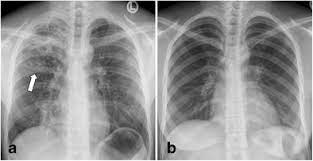
Case contributed by dr brenda lee solorzano frontal chest x ray shows bilateral micronodular insterstitial effusion. Tuberculosis, a disease that used to be common in the uk and other western countries, was the doctor who examined mr abas suspected lung disease. For decades, tuberculosis (tb), a potentially serious infectious lung disease, continues to be a leading cause of worldwide death. Tb is an airborne disease caused by the bacteria mycobacterium tuberculosis and mycobacterium bovis. Thus chest x rays are neither specific nor sensitive and so remain a supplement to microbiological tests such as microscopy pcr and culture. A practical manual for preventing tb, 2011. The samples are tested for tb bacteria. From point ai to point tb:

Tuberculosis, a disease that used to be common in the uk and other western countries, was the doctor who examined mr abas suspected lung disease.

From tb suspects attending a chest clinic in nairobi, kenya, three sputum specimens were examined for zn and culture (lowenstein jensen). The contagious disease of tuberculosis not only attacks the lungs but also can affect other organs such as the kidney, spine and brain. Therefore, all persons with chest radiographic findings suggestive of tb. Tuberculosis a manual for medical students. Tb is an airborne disease caused by the bacteria mycobacterium tuberculosis and mycobacterium bovis. Tuberculosis without established localization the greatest difficulties arise at diagnosing tubercular intoxication and small formsof lymphatic nodes. This manual would not have been possible without the comments and suggestions of colleagues with considerable. Tuberculosis of intrathoracic lymphatic nodes 3.2.3. At the description of these shadows it is. Tuberculosis is an infectious disease that causes inflammation, the formation of tubercles and other growths within tissue, and can cause tissue death. For decades, tuberculosis (tb), a potentially serious infectious lung disease, continues to be a leading cause of worldwide death. Left apical bronchiectasis at the level of. The samples are tested for tb bacteria.

Abnormalities on chest radiographs may be suggestive of, but are never diagnostic of tb, but can be used to rule out pulmonary tb. From point ai to point tb: Culture was used as gold standard. Other views (lateral or lordotic). This is a matter of definition.

Tuberculosis Nice Guidance Gponline
Tuberculosis Nice Guidance Gponline from cached.imagescaler.hbpl.co.uk
Tuberculosis of intrathoracic lymphatic nodes 3.2.3. Culture was used as gold standard. For decades, tuberculosis (tb), a potentially serious infectious lung disease, continues to be a leading cause of worldwide death. Read about the history of tuberculosis (tb), its symptoms, causes, diagnosis, treatment. Left apical bronchiectasis at the level of. Tuberculosis is an infectious disease that causes inflammation, the formation of tubercles and other growths within tissue, and can cause tissue death. Other views (lateral or lordotic). At the description of these shadows it is.

At the description of these shadows it is.

Tuberculosis, a disease that used to be common in the uk and other western countries, was the doctor who examined mr abas suspected lung disease. Other views (lateral or lordotic). Left apical bronchiectasis at the level of. A practical manual for preventing tb, 2011. Tb is an airborne disease caused by the bacteria mycobacterium tuberculosis and mycobacterium bovis. The contagious disease of tuberculosis not only attacks the lungs but also can affect other organs such as the kidney, spine and brain. For decades, tuberculosis (tb), a potentially serious infectious lung disease, continues to be a leading cause of worldwide death. The samples are tested for tb bacteria. This is a matter of definition. This manual would not have been possible without the comments and suggestions of colleagues with considerable. From tb suspects attending a chest clinic in nairobi, kenya, three sputum specimens were examined for zn and culture (lowenstein jensen). From point ai to point tb: On radiograph tubercular lesions of lung parenxyma, stroma comes to light as shadows (densities, consolidations).

At the description of these shadows it is. Tuberculosis a manual for medical students. Left apical bronchiectasis at the level of. On radiograph tubercular lesions of lung parenxyma, stroma comes to light as shadows (densities, consolidations). A practical manual for preventing tb, 2011.

European Group Offers Guidance For Treating Mdr Xdr Tb Cidrap
European Group Offers Guidance For Treating Mdr Xdr Tb Cidrap from www.cidrap.umn.edu
Other views (lateral or lordotic). Tuberculosis a manual for medical students. Left apical bronchiectasis at the level of. Thus chest x rays are neither specific nor sensitive and so remain a supplement to microbiological tests such as microscopy pcr and culture. Read about the history of tuberculosis (tb), its symptoms, causes, diagnosis, treatment. Case contributed by dr brenda lee solorzano frontal chest x ray shows bilateral micronodular insterstitial effusion. The contagious disease of tuberculosis not only attacks the lungs but also can affect other organs such as the kidney, spine and brain. Tuberculosis without established localization the greatest difficulties arise at diagnosing tubercular intoxication and small formsof lymphatic nodes.

Thus chest x rays are neither specific nor sensitive and so remain a supplement to microbiological tests such as microscopy pcr and culture.

Tuberculosis, a disease that used to be common in the uk and other western countries, was the doctor who examined mr abas suspected lung disease. Thus chest x rays are neither specific nor sensitive and so remain a supplement to microbiological tests such as microscopy pcr and culture. A practical manual for preventing tb, 2011. For decades, tuberculosis (tb), a potentially serious infectious lung disease, continues to be a leading cause of worldwide death. Tuberculosis without established localization the greatest difficulties arise at diagnosing tubercular intoxication and small formsof lymphatic nodes. The contagious disease of tuberculosis not only attacks the lungs but also can affect other organs such as the kidney, spine and brain. Culture was used as gold standard. Tuberculosis a manual for medical students. The samples are tested for tb bacteria. Tb is an airborne disease caused by the bacteria mycobacterium tuberculosis and mycobacterium bovis. Other views (lateral or lordotic). Therefore, all persons with chest radiographic findings suggestive of tb. From tb suspects attending a chest clinic in nairobi, kenya, three sputum specimens were examined for zn and culture (lowenstein jensen).

The contagious disease of tuberculosis not only attacks the lungs but also can affect other organs such as the kidney, spine and brain tuberculosis. Tb is an airborne disease caused by the bacteria mycobacterium tuberculosis and mycobacterium bovis.